고난이도 임플란트
풍부한 경험으로 시작부터 끝까지 안전합니다.
풍부한 경험으로 시작부터 끝까지 안전합니다.
상악동은 코 옆에 있는 두개골의 무게를 줄여주고 숨을 쉴 때
공기 중 노폐물과 코 속의 먼지들을 걸러주는 역할을 하는 빈 공간을 의미합니다.
상악동거상술이란 위 턱 어금니 위쪽에 위치한 상악동을 위로 올려준 후 빈공간에 뼈를 이식하여
임플란트를 식립할 공간을 확보하는 고난이도 수술이기 때문에 충분한 시술경험과 노하우가 있는
병원에서 수술 받으셔야 합니다.
상악동 거상술 임플란트 치료 대상
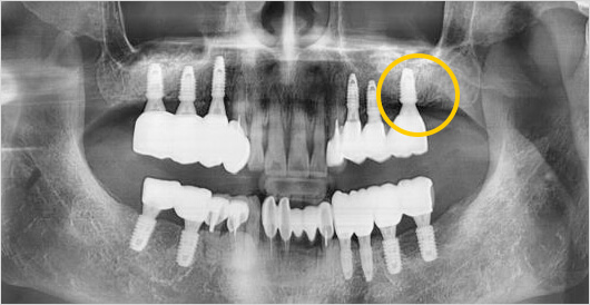
고난이도 임플란트 (상악동 거상술) 수술 전
고난이도 임플란트 (상악동 거상술) 수술 후
뼈이식은 부족 뼈의 양을 채워주는 방법이자 튼튼한 임플란트 시술을 위한 중요한 기초 공사입니다.
뼈가 충분해야 임플란트 성공률이 높아지기 때문에 정밀 진단 후 뼈가 부족하다고 판단되면
뼈 이식술을 통해 충분한 잇몸 뼈를 형성한 후 임플란트 수술이 진행되어야 합니다.
뼈이식 임플란트 치료 대상
타 의료기관에서 임플란트 수술이 실패한 경우
다시 시술 받으실 수 있습니다.
재수술은 이미 식립한 임플란트를 제거한 후 새로운 임플란트를 식립한 후
잇몸형태를 다시 잡아 심미적이고 건강한 치아를 만드는 과정으로 충분한 시간과
풍부한 경험을 바탕으로 한 기술이 필요합니다.
임플란트 재수술 치료 대상

통도자기 소재로 치아색과
유사하며 강도가 우수합니다.

강도가 뛰어나며
치아 적합도가 우수합니다.

겉은 도자기 내부는 메탈로 제작되어 티가 나지 않고 강도가 높으며 치면세균막도 쉽게 생기지 않습니다.